Photo Gallery
Contact Us
Call us
(801) 282-5363
Menu
Facial Plastic Surgery
Brow Lift
Cheek Implant
Chin Implant (Augmentation)
Eyelid Surgery
Facelift
Facial Fat Transfer
Facial Implants
Lip lift
Mini Facelift
Neck & Chin Liposuction
Neck Lift
Otoplasty
Oral Surgery
Wisdom Teeth
Dental Implants
Why Choose Dr. Urban
Bone Grafting
Cleft Lip & Palate
Distraction Osteogenesis
Facial Trauma
Impacted Canines
Jaw Surgery
Oral Pathology
Platelet Rich Plasma
Pre-Prosthetic Surgery
Stem Cells
Injectables
BOTOX® & Wrinkle Relaxers
Dermal Fillers
Lip Fillers
Skin Aesthetics
RF Microneedling
Acne Treatment
Eyelash Lengthening/Latisse
Facial Spider Vein Removal
Laser Skin Resurfacing
Microneedling
Mole Removal
About Us
Meet Dr. Urban
Certifications
Our Philosophy
Our Facility
Testimonials
Gallery
Resources
Out of Town Patients
First Visit
Scheduling
Financial Options
Insurance
Online Forms & Instructions
Privacy Policy
Specials
Referring Doctors
Contact Us
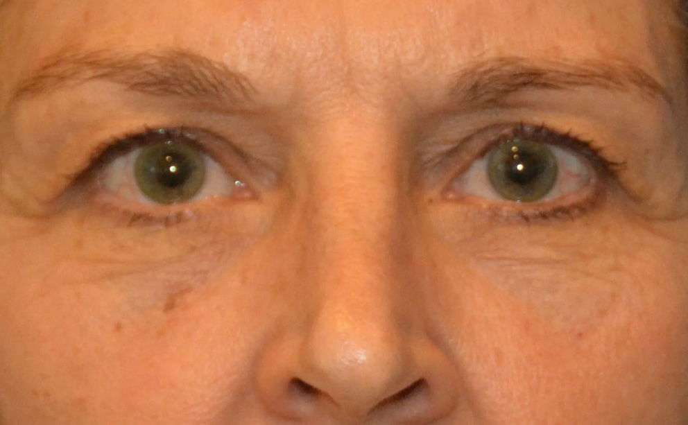
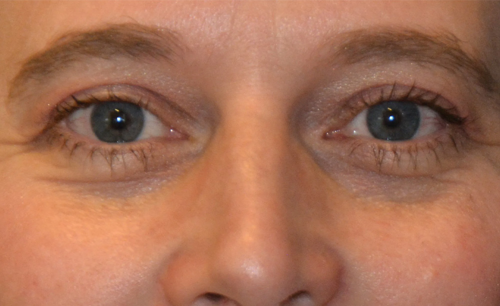
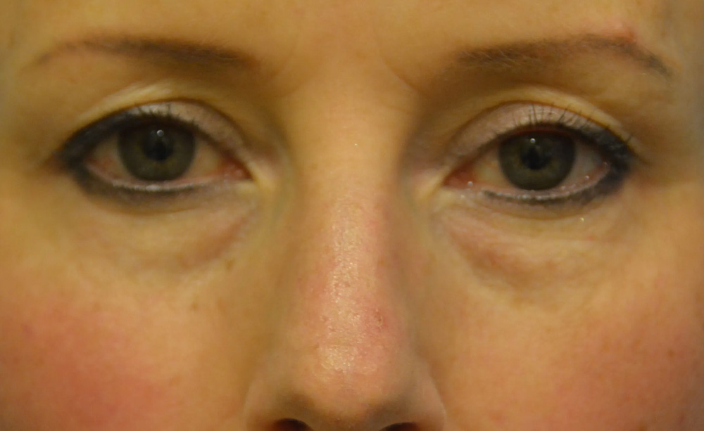
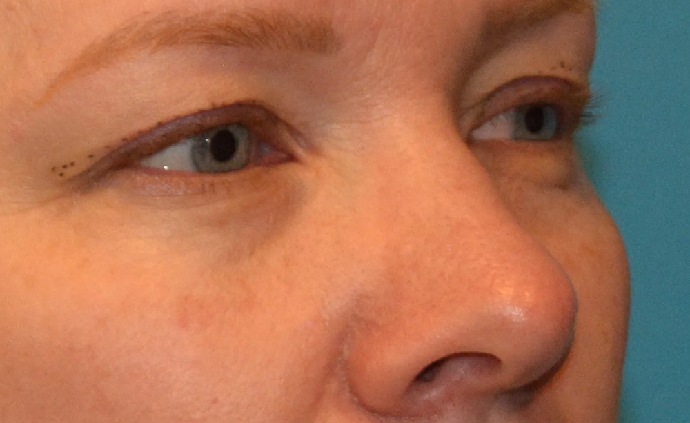
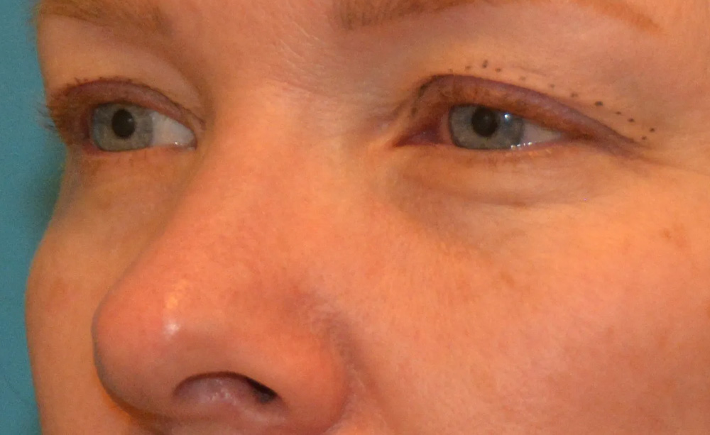
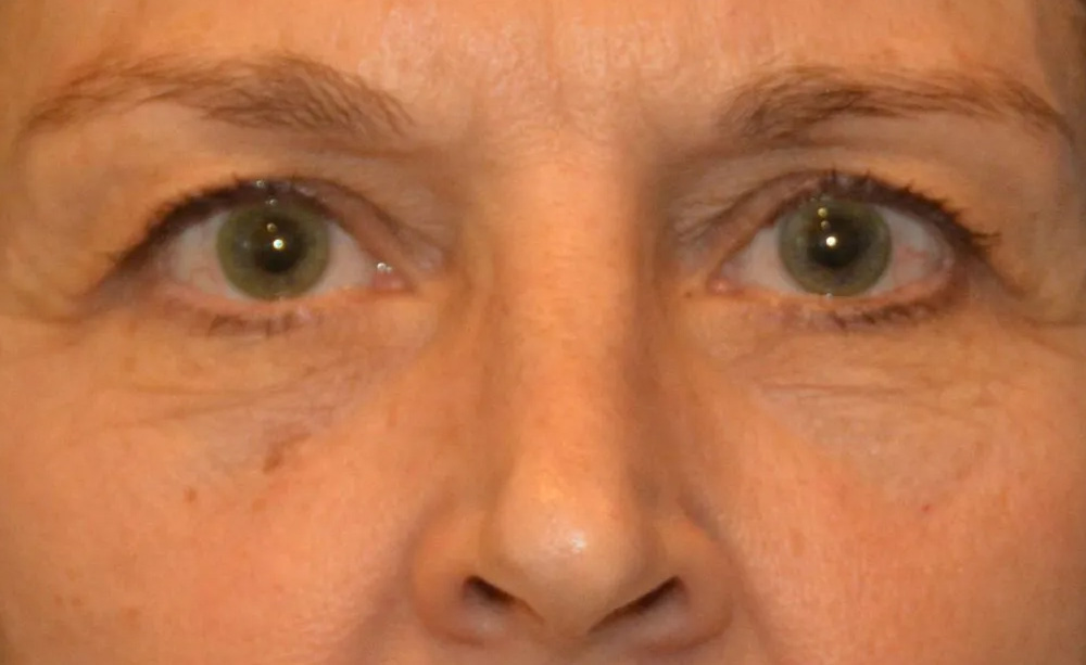
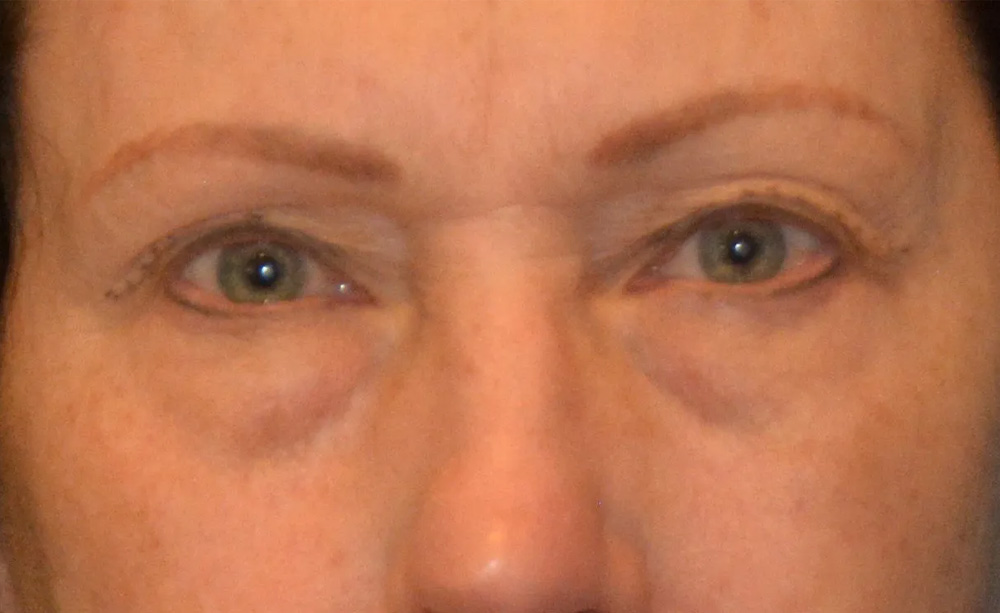
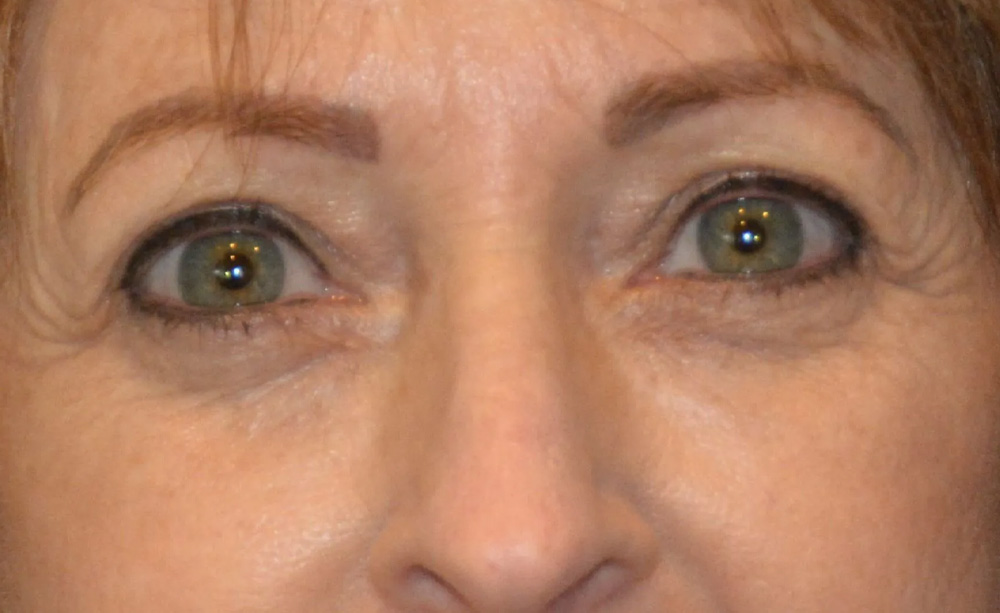
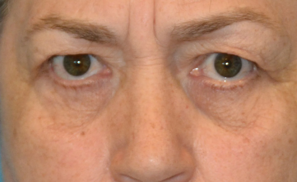
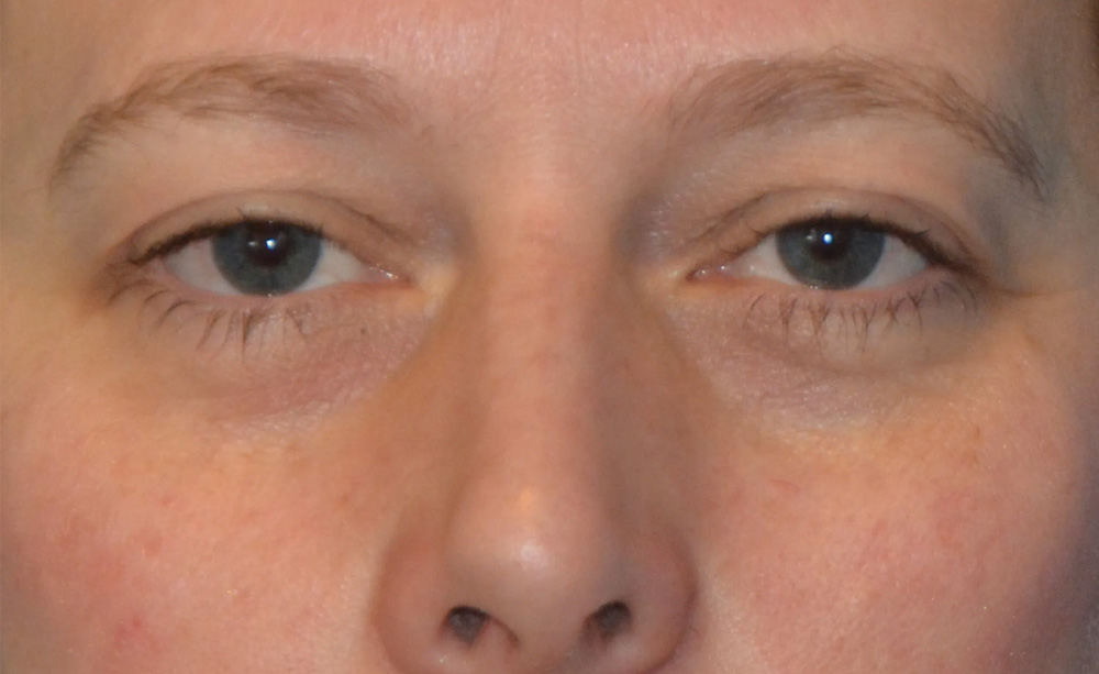
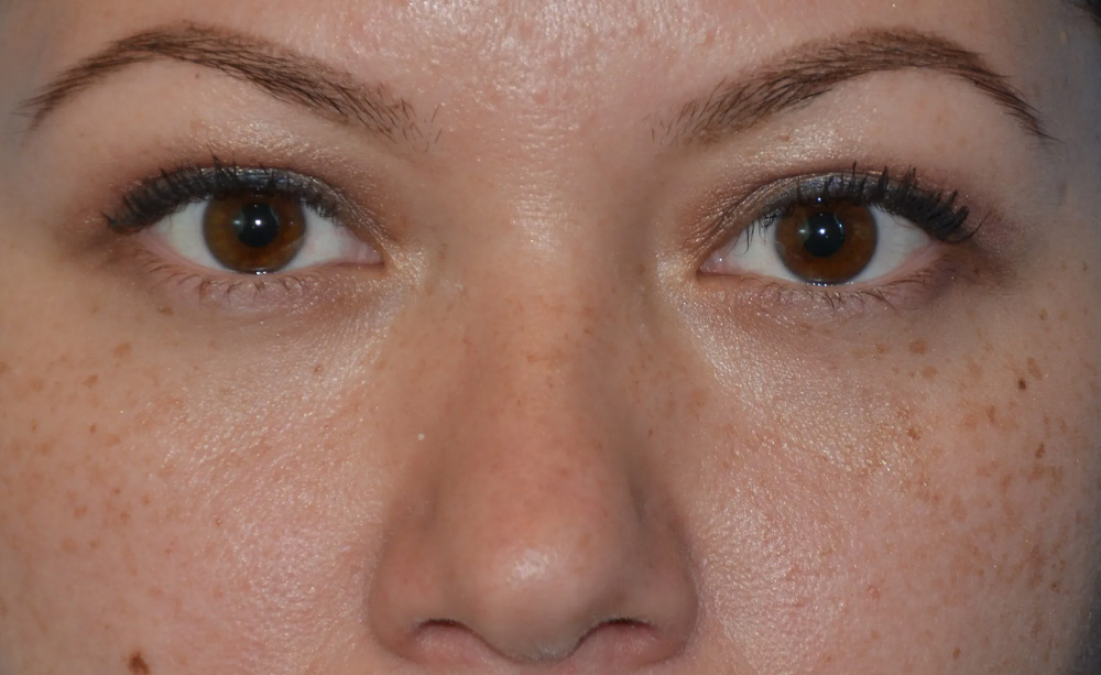
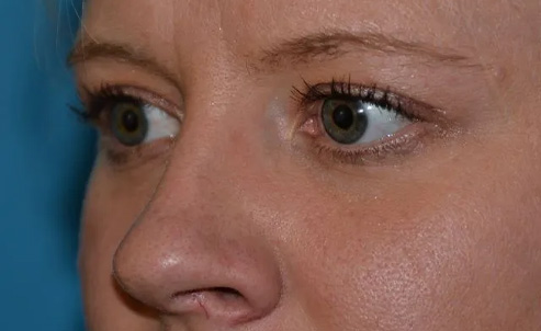
Eyelid Surgery
Before & After Photos
Gallery
Back to gallery
Select a Procedure
Facelift & Neck Lift
Lip Lift
Cheek Implants
Chin Implants
Ear & Earlobe Repair
Earlobe Reduction
Eyelid Surgery
Facelift
Facial Fillers
Facial Liposuction
Fat Transfer
Jaw Surgery
Lip Augmentation
Lip Implants
Mole Removal
Brow Lift
Procedure
Go to procedure
View case
View case
View case
View case
View case
View case
View case
View case
View case
View case
View case
View case
View case
View case
View case
View case
View case
View case
View case
View case
View case
View case
View case
Back to top
Schedule a Consultation
Contact Us
Please ensure Javascript is enabled for purposes of
website accessibility