Photo Gallery
Contact Us
Call us
(801) 282-5363
Menu
Facial Plastic Surgery
Brow Lift
Cheek Implant
Chin Implant (Augmentation)
Eyelid Surgery
Facelift
Facial Fat Transfer
Facial Implants
Laser Skin Resurfacing
Lip lift
Mini Facelift
Neck & Chin Liposuction
Neck Lift
Nose Surgery
Otoplasty
Oral Surgery
Why Choose Dr. Urban
Bone Grafting
Cleft Lip & Palate
Dental Implants
Distraction Osteogenesis
Facial Trauma
Impacted Canines
Jaw Surgery
Oral Pathology
Platelet Rich Plasma
Pre-Prosthetic Surgery
Stem Cells
Wisdom Teeth
Injectables
BOTOX® & Wrinkle Relaxers
Dermal Fillers
Lip Fillers
Skin Aesthetics
RF Microneedling
Acne Treatment
Chemical Peels
Eyelash Lengthening/Latisse
Facial Spider Vein Removal
Laser Skin Rejuvenation
Laser Skin Resurfacing
Microneedling
Mole Removal
About Us
Meet Dr. Urban
Certifications
Our Philosophy
Our Facility
Testimonials
Gallery
Resources
Out of Town Patients
First Visit
Scheduling
Financial Options
Insurance
Online Forms & Instructions
Privacy Policy
Specials
Referring Doctors
Contact Us
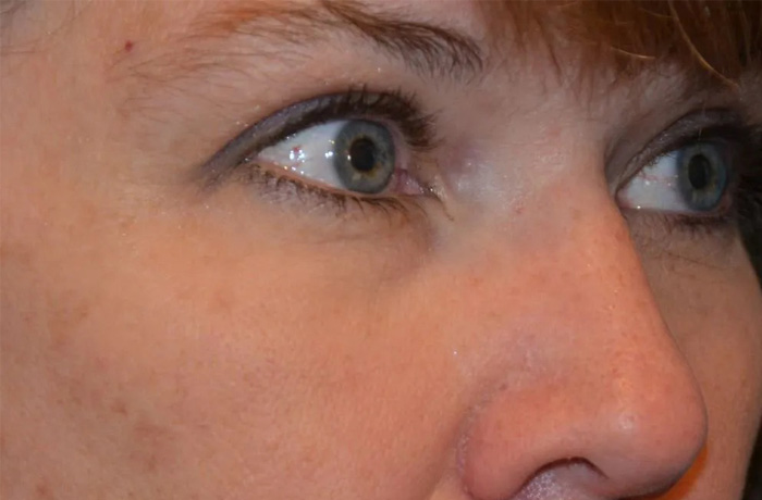
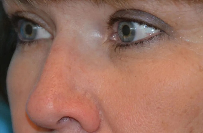
Mole Removal
Before & After Photos
Gallery
Back to gallery
Select a Procedure
Facelift & Neck Lift
Lip Lift
Cheek Implants
Chin Implants
Ear & Earlobe Repair
Earlobe Reduction
Eyelid Surgery
Facelift
Facial Fillers
Facial Liposuction
Fat Transfer
Jaw Surgery
Lip Augmentation
Lip Implants
Mole Removal
Procedure
Go to procedure
View case
View case
View case
View case
View case
View case
View case
View case
View case
Back to top
Schedule a Consultation
Contact Us
Please ensure Javascript is enabled for purposes of
website accessibility